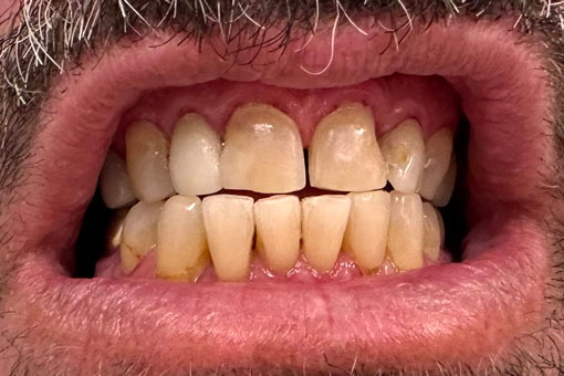
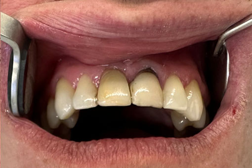
Dental Crown Replacement
Dental crowns are a versatile solution used in many clinical situations, whether a tooth has been weakened by decay, fractured, treated with a root canal, or presents cosmetic concerns that affect the overall appearance of the smile. Today’s crowns provided from our Santa Monica dentists are fabricated from advanced materials such as porcelain, zirconia, and high-strength ceramics, allowing them to closely replicate the translucency, contour, and function of natural teeth.

